ponad
1500 zadowolonych pacjentówponad
12 lat doświadczeniaponad
200 wszczepionych implantówponad
50 przebytych szkoleń

Kilka słów o mnie
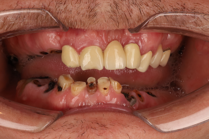
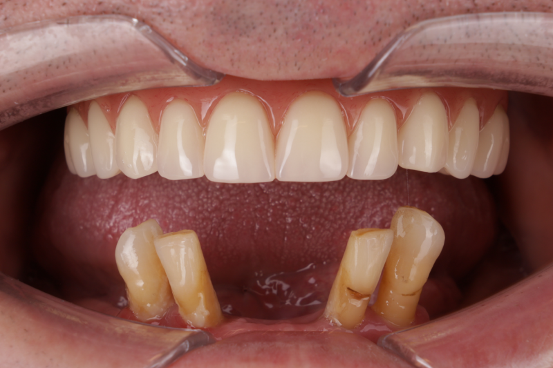
Jestem absolwentem Collegium Medicum UJ w Krakowie. Prowadzę leczenie protetyczne, chirurgiczne i mikrochirurgiczne oraz implantologiczne przy użyciu mikroskopu zabiegowego. Pomagam pacjentom z problemami w zakresie nieprawidłowości okluzji, braków zębowych, zaburzeń estetyki, dysfunkcji stawów skroniowo – żuchwowych oraz TMD, a także rekonstrukcją zgryzu. W swojej codziennej praktyce zajmuję się również zabiegami regeneracji kości oraz podniesienia zatok szczękowych, a także resekcji.
- Absolwent Curriculum Implantologicznego PSI od 2021
- Członek ICOI Europe DGOI oraz PSI
- Certyfikowany Lekarz metody All-On-4 by Nobel Biocare od 2023







































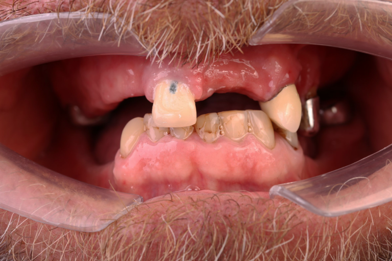
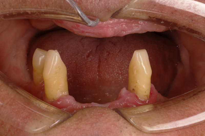
Implanotologia stomatologiczna
odzyskaj pewność siebie i zdrowy uśmiechBraki w uzębieniu mogą wpływać nie tylko na wygląd i komfort życia, ale również na zdrowie całego organizmu. Niewystarczająca liczba zębów może prowadzić do problemów z gryzieniem, trawieniem, a nawet do przesunięć pozostałych zębów. Właśnie dlatego implantologia to jedna z najbardziej innowacyjnych i skutecznych metod odbudowy uzębienia. Pomagam pacjentom odzyskać pełnię funkcjonalności i estetyki uśmiechu.

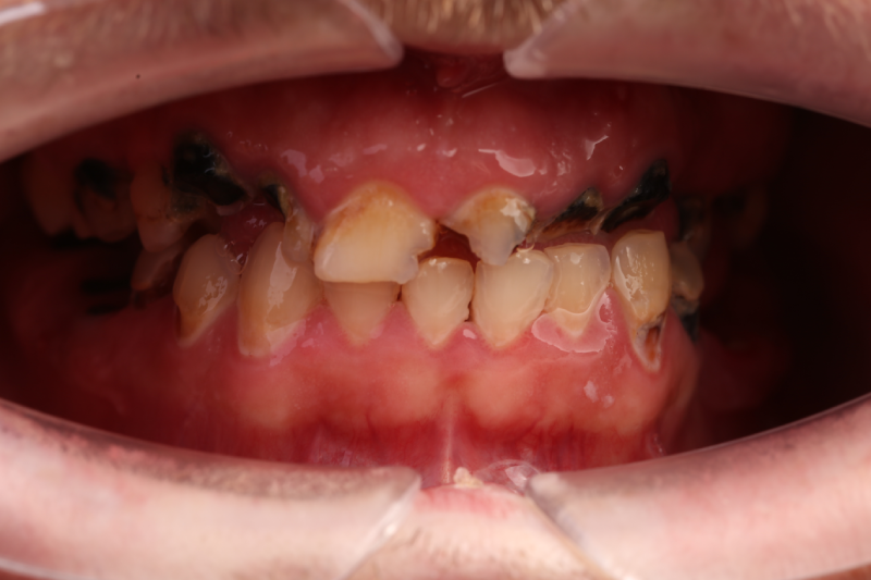
Chirurgia stomatologiczna
precyzja i komfort leczeniaNiektóre problemy stomatologiczne wymagają bardziej zaawansowanych zabiegów, które są domeną chirurgii stomatologicznej. Zabiegi te obejmują wszystko od usuwania trudno dostępnych zębów, przez rekonstrukcję kości, aż po przygotowanie jamy ustnej do implantacji. W swojej pracy łączę wieloletnie doświadczenie z najnowszymi technologiami, by zapewnić pacjentom maksymalny komfort i bezpieczeństwo.

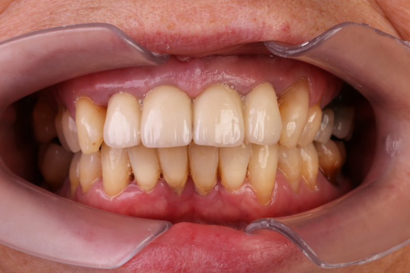
Protetyka
przywróć pełnię swojego uśmiechuUbytki w uzębieniu, nawet te drobne, mogą wpływać na wygląd twarzy, jakość życia i zdrowie jamy ustnej. Protetyka stomatologiczna pozwala nie tylko na odbudowę brakujących zębów, ale również na poprawę zgryzu, estetyki i funkcji żucia. Oferuję kompleksowe usługi protetyczne dostosowane do potrzeb każdego pacjenta.
Lokalizacje
Centrum Stomatologiczne Stępień
Kraków
ul. Andrzeja Frycza-Modrzewskiego 2/16U
rejestracja@stomatologia-stepien.plUśmiechnij mi się
Jaworzno
ul. Piekarska 6
www.usmiechnijmisie.pl jaworzno@usmiechnijmisie.pl +48 32 111 90 90CENTRUM STOMATOLOGICZNE DentistiQ
Bielsko-Biała
ul. Bystrzańska 94
www.dentistiq.pl stomatologia@dentistiq.plLA DENTICA STOMATOLOGIA
Zakopane
Księdza Józefa Stolarczyka 12/lok.8
www.dentysta-zakopane.com ladenticazakopane@gmail.com


















